
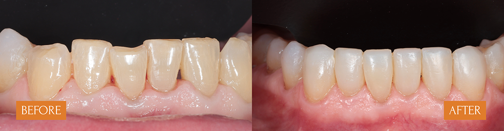
In this case, our patient presented with generalised anterior tooth wear, resulting in shortened clinical crowns and a noticeable clicking of the temporomandibular joint. She was concerned about the ageing appearance of her smile and the long-term functional implications of continued wear.
As with all advanced restorative cases, treatment began with a thorough examination. This included assessment of:
Understanding the underlying cause of wear is critical before undertaking additive restorative treatment. Composite bonding must not only improve aesthetics, but also integrate harmoniously within the patient’s functional envelope.
High-resolution intraoral and full-face photographs were taken to analyse smile proportions, tooth display and facial dynamics.
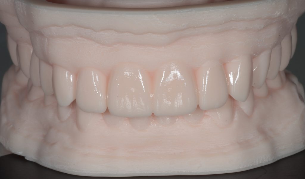
Using advanced digital planning software, we designed a proposed increase in tooth length and refinement of contour to restore lost structure while maintaining natural aesthetics.

A 3D-printed mock-up was fabricated from the approved digital design. This provisional template was transferred directly into the mouth, allowing the patient to:
This stage is fundamental in ensuring predictability and shared understanding.

Following patient approval, six upper anterior teeth were restored over approximately three hours.

Rubber dam isolation was used to ensure optimal moisture control – essential for long-term bonding success. The enamel surface was conditioned using micro-etching, a minimally invasive technique that does not require drilling but creates microscopic surface texture to enhance adhesion.
Using the validated mock-up as a reference, each tooth was restored with layered composite resin, carefully sculpted to reproduce natural morphology, surface texture and light reflection.
After two appointments, both aesthetics and function were significantly improved. The anterior teeth were restored to harmonious proportions, and the occlusion was carefully balanced to improve comfort and joint stability.

The result is a rejuvenated smile supported by improved functional control.
The next phase of treatment will address the posterior teeth to further stabilise the occlusion and protect the anterior restorations long-term.
Fill in the form and our friendly team will be in touch with you momentarily
A first class dental centre. Situated in a splendid listed building with an opulent ambience there is always a friendly greeting at reception from Isabella and a relaxed atmosphere throughout. Certai... Read More
We are all very happy with the care provided- my husband, my daughter and myself. The quality of service is outstanding. They care about doing the job right. They are professional and approachable, th... Read More
I had a fantastic experience during my dental hygiene appointment. Justine (the hygienist) was incredibly thorough, attentive, and professional. Neda (the dental nurse) was friendly and reassuring, he... Read More
We visited Dr. Iuri Coev at Ferry Dental Centre for my daughter’s dental care at the final stage of her orthodontic treatment. Dr. Coev was extremely professional, attentive, and kind throughout the... Read More
I would like to share my partner's incredible experience from start to finish with Ferry Dental Care. The entire team is so warm, compassionate and knowledgeable.He really felt they cared about his s... Read More