Smile Gallery

Book Consultation

Smile Gallery, Before & Afters in Southampton

Explore Our Smile Transformations

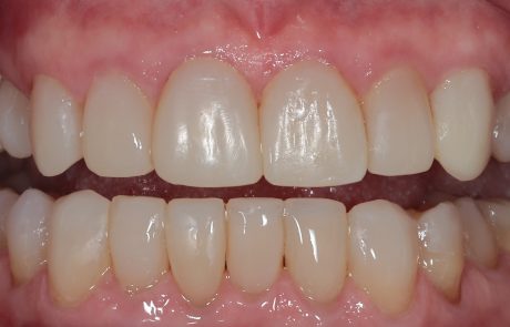
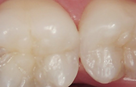
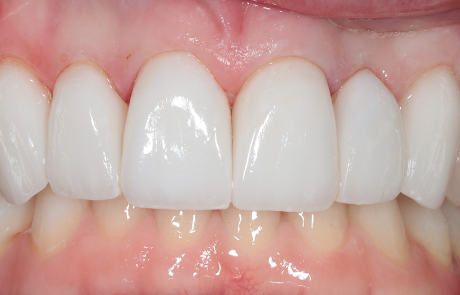
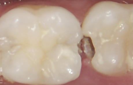
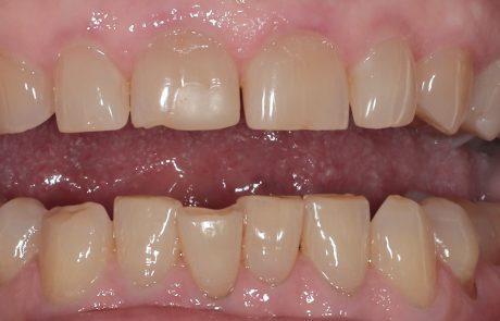
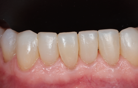
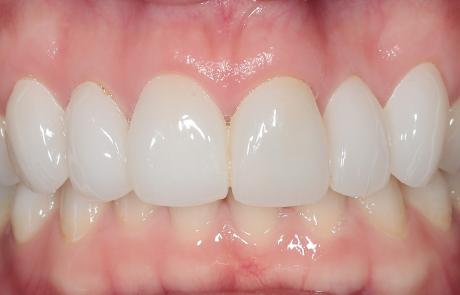
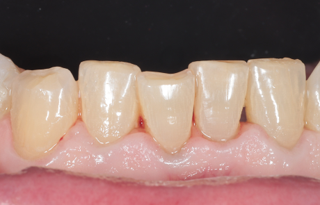
At Ferry Dental in Southampton, we take pride in creating healthy, confident smiles. Our Smile Gallery showcases real patient transformations — from subtle enhancements to life-changing makeovers. Whether it’s teeth whitening, Invisalign, veneers, or full smile restorations, these before-and-after images reflect the high-quality care and attention to detail our team provides every step of the way.

Book Consultation
Category:

Start Your Smile
Transformation Today

Fill in the form and our friendly team will be in touch with you momentarily

Please Note* If you are enquiring with an international phone number please include the country code.

How can we help you?

We love our patients!

We are all very happy with the care provided- my husband, my daughter and myself. The quality of service is outstanding. They care about doing the job right. They are professional and approachable, th… Read More

Vessy M

A first class dental centre. Situated in a splendid listed building with an opulent ambience there is always a friendly greeting at reception from Isabella and a relaxed atmosphere throughout. Certai… Read More

Nicholas Baker

I had a fantastic experience during my dental hygiene appointment. Justine (the hygienist) was incredibly thorough, attentive, and professional. Neda (the dental nurse) was friendly and reassuring, he… Read More

Natasha

We visited Dr. Iuri Coev at Ferry Dental Centre for my daughter’s dental care at the final stage of her orthodontic treatment. Dr. Coev was extremely professional, attentive, and kind throughout the… Read More

Roman Malakhov

Iuri and the entire team are amazing! He helped fix my bridge, which was done back in my country. He’s very friendly, kind and the best dentist in Southampton. A special shoutout to Isabella at the … Read More

Gayathri Abeywickrama