When a tooth is lost, the bone that once supported it no longer receives natural stimulation from chewing. Over time, this causes the bone in that area to shrink.
In fact, studies show that during the first year after tooth loss, the bone can lose up to 25% of its width, with an overall height reduction of around 4 mm.
Replacing the tooth with a dental implant helps preserve the bone and restore both function and appearance.
Every successful implant starts with careful planning.
We always begin with a New Patient Examination (NPE), where we:
This thorough approach allows us to plan treatment predictably and safely.
The implant is placed under local anaesthetic, so the area is completely numb. For anxious patients, IV sedation is also available.
During the procedure:
There is no pain during the procedure.
In most cases, the implant is left undisturbed for 2–3 months. This healing period allows the implant to bond naturally with the bone (a process called osseointegration), creating a strong foundation for the future crown.
Aftercare instructions are provided, and antibiotics may be prescribed when necessary. Stitches are removed after about 2 weeks.
Once the implant has integrated with the bone, we gently uncover it under local anaesthetic.
A small healing cap (healing abutment) is placed for about 2 weeks. This shapes the gum tissue beautifully around the implant, creating a natural contour.


We use a modern intraoral scanner to take a digital impression.
No traditional trays.
No silicone material.
No unpleasant taste.
This allows us to design a highly accurate custom crown.


The final crown is screw-retained rather than cemented. This provides better long-term stability and allows safe removal if ever needed in the future.
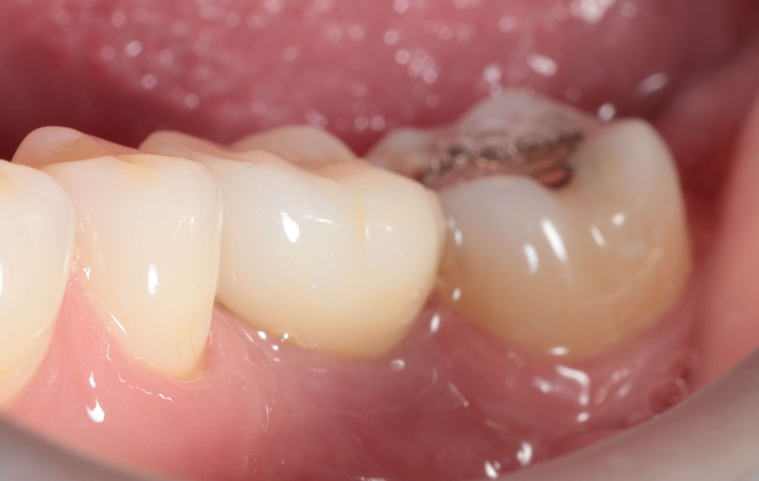
The finished result blends naturally with the surrounding teeth.
The gum sits neatly against the crown margin, making the restoration look just like a natural tooth


Dental implants are a long-term solution, but they do require proper care.
Regular examinations and professional hygiene visits are essential to maintain healthy gums and ensure the implant remains stable for many years.
With the right care, implants can provide strength, comfort, and confidence that feel very close to having your natural tooth back.
If you are looking for a dentist in Southampton to replace a missing tooth, contact Ferry Dental Centre to discuss your dental implant options.
Fill in the form and our friendly team will be in touch with you momentarily
A first class dental centre. Situated in a splendid listed building with an opulent ambience there is always a friendly greeting at reception from Isabella and a relaxed atmosphere throughout. Certai... Read More
We are all very happy with the care provided- my husband, my daughter and myself. The quality of service is outstanding. They care about doing the job right. They are professional and approachable, th... Read More
I had a fantastic experience during my dental hygiene appointment. Justine (the hygienist) was incredibly thorough, attentive, and professional. Neda (the dental nurse) was friendly and reassuring, he... Read More
We visited Dr. Iuri Coev at Ferry Dental Centre for my daughter’s dental care at the final stage of her orthodontic treatment. Dr. Coev was extremely professional, attentive, and kind throughout the... Read More
I would like to share my partner's incredible experience from start to finish with Ferry Dental Care. The entire team is so warm, compassionate and knowledgeable.He really felt they cared about his s... Read More